وكان من المفترض أن يعيش هذا الفتى حياة طبيعية مليئة بالحركة والنشاط كباقي أقرانه، يمارس الرياضة ويلعب دون عناء، إلا أن ما حدث غيّر مجرى حياته بالكامل.
فعلى مدار سنة كاملة، اعتاد تدخين “الفيب”بعيدا عن أنظار عائلته، حتى جاء اليوم الذي عجز فيه عن التنفس بشكل طبيعي.
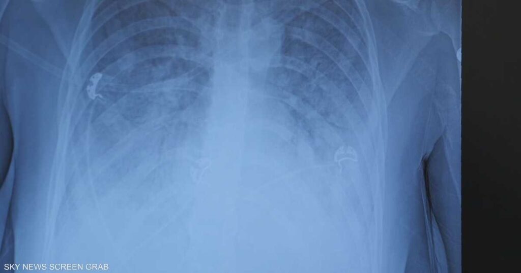
ونقل المراهق إلى المستشفى في حالة طارئة بعد تعرضه لفشل رئوي حاد، لتشخص حالته بإصابة خطيرة في الرئتين منعته من التنفس دون دعم خارجي.
ومنذ تلك اللحظة، أصبح مضطرا لحمل أسطوانة أوكسجين معه حتى إلى المدرسة.
استشاري طب الرئة الدكتور همام الشققي أوضح في حديثه لسكاي نيوز عربية أن ما يعرف بـ”رئة الفشار” هو الاسم الشائع لمرض طبي يعرف علميا بالتهاب القصيبات الانسدادي (Bronchiolitis Obliterans).
ويعود اسم “رئة الفشار” إلى أول مرة تم فيها عرب90هذه الحالة بين عمال مصانع الفشار الذين تعرضوا لمادة كيميائية مستخدمة لمنح نكهة الزبدة الصناعية.
وقال الدكتور الشققي: “السبب الرئيسي لهذا المرض هو مادة كيميائية تسمى دي استايل، وكانت تستخدم لإعطاء نكهة الزبدة في منتجات الفشار الجاهز، وهي موجودة أيضا في نكهات الفيب، ما يجعل الأمر خطيرا للغاية”.
وأشار إلى أن تدخين “الفيب” والسجائر الإلكترونية يسبب نفس الضرر تقريبا الذي تسببه السجائر التقليدية، بما في ذلك التهابات القصبات الهوائية نتيجة التعرض لمواد سامة، وهو ما ظهر في حالة الفتى الأردني الذي أصيب بفشل رئوي كامل.
ليس بديلا آمنا عن التدخين التقليدي
وشدد الدكتور الشققي على أن “الفيب ليس بديلا آمنا”، مشيرا إلى أنه قبل نحو 15 عاما، اعتقد البعض من الأطباء أنه ربما يشكل بديلا أفضل للسجائر، لكن مع مرور الوقت ظهرت مؤشرات خطيرة على مضاره المحتملة.
وأضاف: “الآن نرى حالات حادة جدا، لم نكن نسمع بها بهذه السرعة مع السجائر التقليدية، مثل حالة المراهق الأردني الذي سيضطر للعيش على الأوكسجين مدى الحياة”.
سهولة الوصول أحد الأسباب الرئيسة
ويرى الدكتور الشققي أن سهولة الوصول إلى “الفيب” والسجائر الإلكترونية عامل رئيسي في انتشارها، خاصة بين فئة المراهقين.
وأوضح أنه: “أصبح بإمكان أي شخص شراء الفيب من أي مكان، وهذا يجعل من الصعب السيطرة على انتشارها بين الفئات العمرية الصغيرة”.
وأكد أن المنصات الاجتماعية تلعب أيضا دورا سلبيا في ترويج “الفيب”، موضحا: “هناك انطباع عام خاطئ بأن الفيب أمر عصري وجذاب، خصوصا بسبب النكهات المتنوعة مثل الكابتشينو، العلكة، ونكهات الفواكه، وهو ما يجذب المراهقين ويشجعهم على التجربة بدافع التقليد”.
أضرار جديدة ومقلقة تظهر بين المستخدمين
وفق الدكتور الشققي فإن هناك أضرارا أخرى ظهرت حديثا نتيجة تدخين “الفيب” مثل ما يعرف بـ”لسان الفيب”، وهي حالة تصيب المدخن بفقدان القدرة على تمييز النكهات بالإضافة إلى التهابات وتقرحات في الفم.
وأردف قائلا: “هذه الحالة توضح مدى تأثر الحواس والأنسجة الحساسة بمواد الفيب الكيميائية”.
علامات تحذيرية تستدعي التدخل الطبي الفوري
وحذر الدكتور الشققي من تجاهل أعراض مثل السعال المستمر أو ضيق التنفس أو الكتمة على الصدر، داعيا إلى مراجعة الطبيب فورا عند ظهور أي من هذه العلامات، مضيفا: “عندما تظهر هذه الأعراض، خاصة لدى الشباب، فهذا مؤشر خطر ويجب عدم التهاون به”.
واختتم الدكتور الشققي حديثه بالدعوة إلى تكثيف التوعية المجتمعية بمخاطر “الفيب”، مشددا على ضرورة فرض رقابة صارمة على بيع وترويج هذه المنتجات.
وشدد على أن: “جيل الشباب اليوم أكثر عرضة للإغراءات بسبب البيئة المحيطة ووسائل التواصل، ونحن كأطباء وأهل بحاجة للوقوف في وجه هذا الخطر المتزايد”.
وأشار إلى أن: “المواد السامة في الفيب لا تؤدي فقط إلى أمراض مزمنة، بل قد تسبب مشاكل حادة وخطيرة تؤثر على الحياة بشكل دائم، ولذلك فإن الوقاية والتوعية هي الحل الوحيد قبل فوات الأوان”.
